어디가 불편하세요?
SHINSEGAE SEOUL HOSPITAL
어디가 불편하세요?
SHINSEGAE SEOUL HOSPITAL
발/발목
SHINSEGAE SEOUL HOSPITAL
무지외반증이란?
엄지발가락이 두번째 발가락 쪽으로 심하게 휘고
관절 변형을 일으켜 통증을 유발하는 질환으로
엄지발가락과 관절을 이루는 중족골이 안쪽으로 치우치는 관절
변형 질환입니다. 발가락이 발등 쪽으로 휘거나 엄지발가락 축을
중심으로 내측으로 회전하는 변형을 동반하는 삼차원적 변형입니다.
외관상 보기 안좋을 뿐만 아니라 변형된 발 모양으로 인해
신발과 지속적인 마찰이 일어나 통증이 유발됩니다.
발가락에서 가장 흔하게 나타나는 질환으로 증상이 심해지면
발 전체 뿐 아니라 걸음 걸이와 자세에 영향을 미쳐 무릎 및 허리
통증까지도 유발할 수 있어 빠른 치료가 필요합니다.

무지외반증의 주요 원인
이전에는 무지외반증은 서양인들에게 많이 발생하는 질병이었으나
현재는 하이힐 등의 영향으로 국내에서 상당수의 환자가 발생하고 있습니다.

선천적으로 평발이거나
엄지발가락이 긴 경우

하이힐 등
폭이 좁은 신발로 인한 영향

류마티스 관절염,
신경 근육성 질환 환자에게서 발생
무지외반증 자가진단 CHECK
무지외반증의 주요 증상
다음과 같은 증상이 있다면 무지외반증을
의심해보세요.

신발에 자극을 받아 돌출 부위에 통증이 나타난다.

휘지 않은 발가락에도 굳은살이 생겨 통증이 발생한다.

증상이 심한 경우 보행이 힘들어 무릎, 허리에까지 통증이 느껴진다.

외관상 보기 좋지 않을 정도로 엄지발가락의 변형이 일어난다.

두번째 발가락 아래 쪽 발바닥에 굳은살이 생긴다.
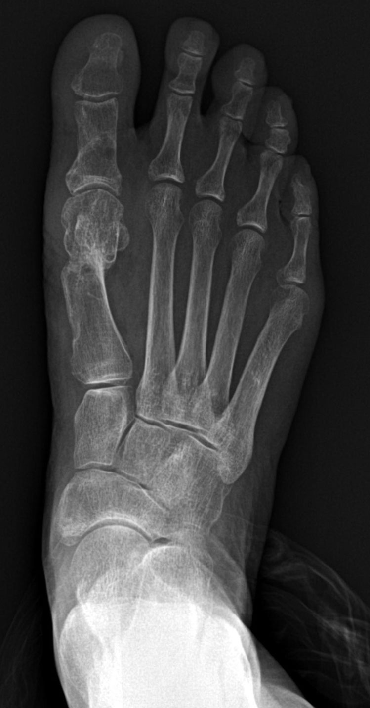
무지외반증 수술 전후
무지외반증 수술 전

무지외반증 수술 후(나사고정)

무지외반증 수술 후(나사제거)

무지외반증의
치료 방법

재활치료
돌출 정도가 심하지 않거나 증상이 거의
없는 경우 시행하며 통증 경감의 효과는
있지만 이미 변형된 부분이 교정되기는
어렵습니다.

교정 절골술
돌출부의 뼈를 자르고 변형이 생긴 뼈의
각도를 교정 하는 절골술이 시행됩니다.
무지외반증 Q&A
A
교정 자체는 효과가 별로 없고 일시적으로 통증은
호전될 수 있습니다.
다만, 통증 조절을 목표로 한다면 교정기나 보조기보다는
소염제를 복용하면서 발볼이 넓은 신발을 신으시는 것이
좋습니다.
A
가장 먼저 중족골에서 전체 변형의 교정을 시도합니다.
근위지골도 같이 변형이 있는 경우가 있어서 같이 절골술을
시행합니다.
관절 주변으로 타이트해져 있는 연부조직에는 유리술을,
느슨해진 연부조직은 중첩봉합술을 하면서 연부조직의
밸런스도 맞춰주는 종합적인 과정을 통하여 무지외반증
수술을 진행합니다.
profile
SHINSEGAE SEOUL HOSPITAL
신세계서울병원은
정직합니다.
환자의 필요를 최우선으로, 과잉진료 없이 꼭 필요한 치료
고가정책 지양하고, 비수술을 목표로 개개인 맞춤형 치료
신세계서울병원은 바르고 정직하게 진료합니다.
SHINSEGAE SEOUL HOSPITAL
신세계서울병원은
정확합니다.
척추, 어깨, 무릎, 발목 세분화된 전문의의 정밀한 진료 시스템
대학병원급 첨단 장비로 진단부터 치료까지 원스톱 시스템
신세계서울병원은 빠르고 정확하게 진료합니다.
SHINSEGAE SEOUL HOSPITAL
신세계서울병원은
정성을 다합니다.
365일 진료로, 환자들의 편의 제공과 공백 없는 의료 서비스
친환경 자재, 간병인무료서비스로 건강하고 편리한 의료 환경
신세계서울병원은 친절과 정성으로 진료합니다.
전화
상담
빠른 상담
성함과 연락처를 남겨주시면
상담사가 연락드립니다.
(공휴일,일요일 상담신청 시 정상 근무시간에 연락드립니다.)
평일 오전 9시-오후 5시,
토요일 오전 9시-오후 12시